Before and After Image Gallery
Computer-Guided TMD Therapy in Olathe, KS
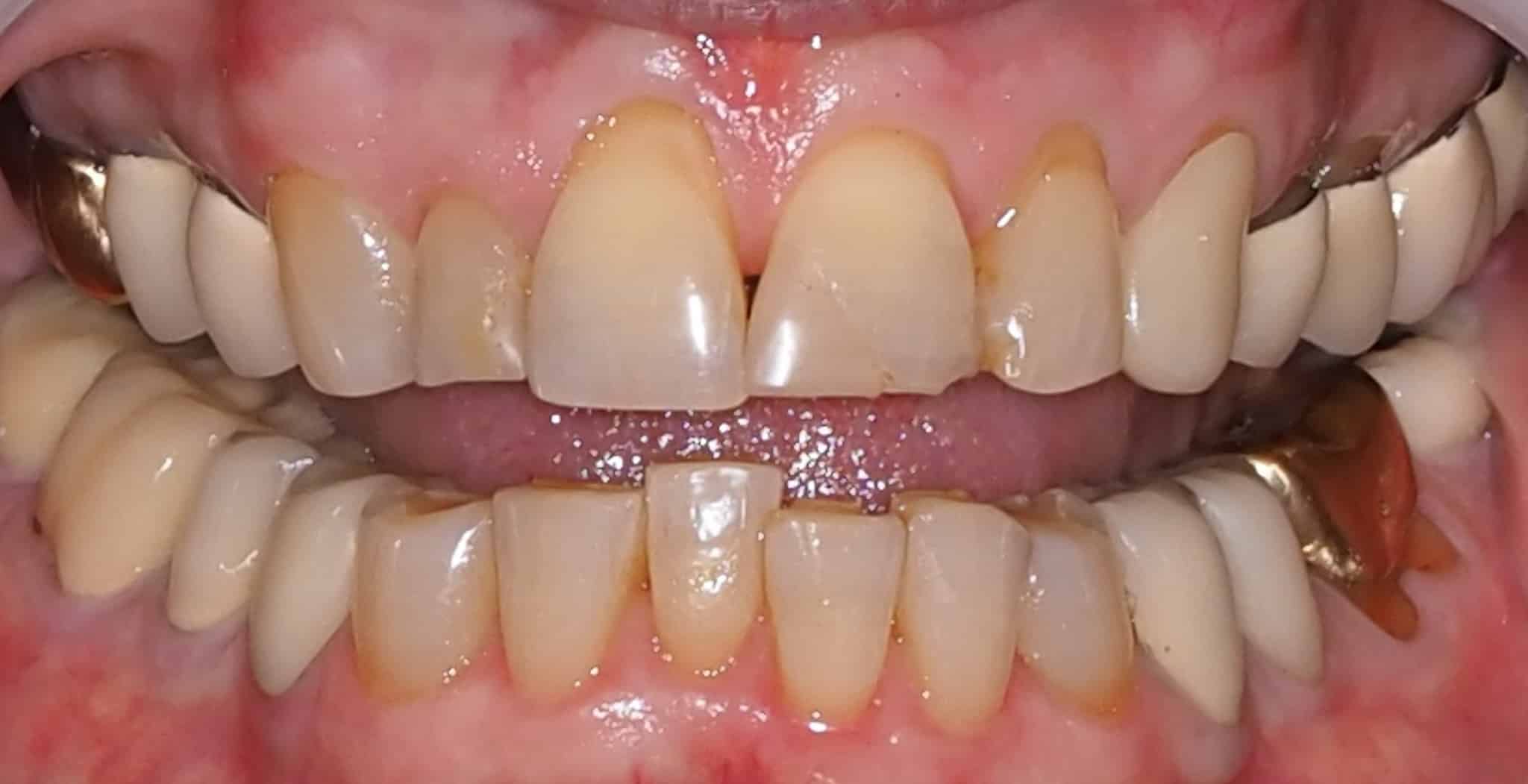
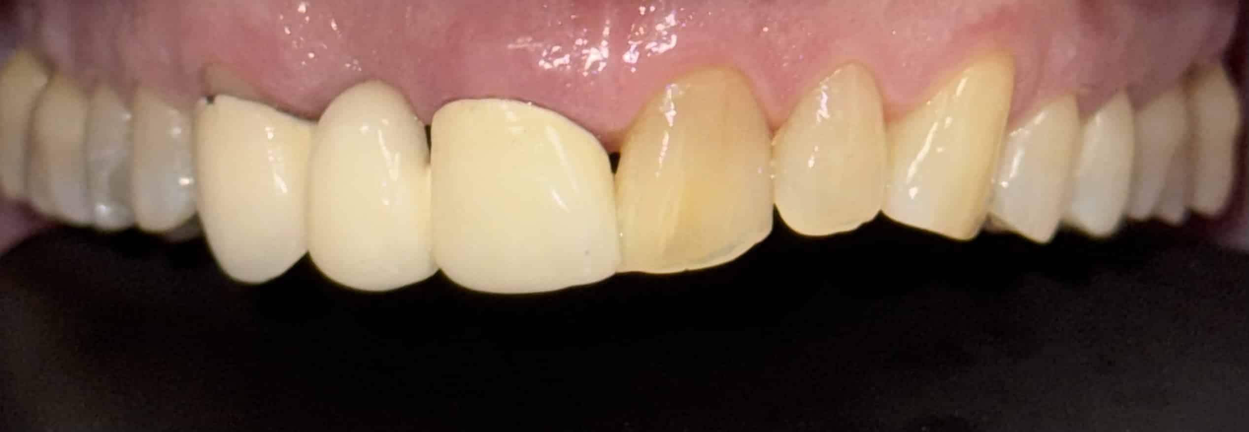
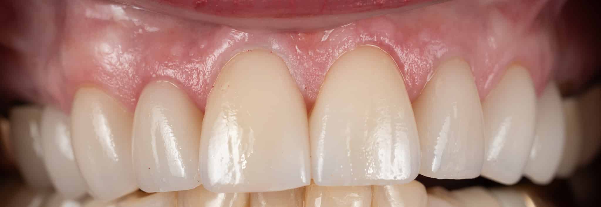
At Serenity Dental, Dr. Michael Silva is deeply committed to improving the health, comfort, and quality of life of every patient who walks through our doors. That commitment is exactly why we are proud to offer Disclusion Time Reduction (DTR) therapy, one of the most advanced and effective treatments available for TMD relief. Dr. Silva has pursued extensive training in neuromuscular dentistry and occlusal disease treatment, and our team stays at the forefront of dental technology to ensure our patients receive the best care possible.
Our treatment philosophy is built around two core beliefs: comprehensive care and conservative solutions. We want to address the root cause of your discomfort without putting you through unnecessary or overly invasive procedures. DTR therapy reflects that philosophy perfectly. It is a special, computer-guided treatment for TMD that has proven to be faster and more lasting than many traditional appliance-based approaches. It can also help in cases of Meniere's disease and trigeminal neuralgia.
Are You a New Patient?
As a growing general dental office in Olathe, Kansas, Serenity Dental is welcoming new patients of all ages. Scheduling your appointment is simple through the use of our patient portal. If you have any questions before your appointment, call the office and our staff will be happy to assist you.
Flexible Financial Options
We want to ensure that you receive the very best care, and part of that is knowing what to expect from your visit. Our office will break down treatment fees as well as work with you on financing options. Because insurance policies vary, we can only estimate your coverage in good faith but cannot guarantee coverage due to the complexities of insurance contracts. Please contact our office for further details and insurance options. *Financing is subject to credit approval.
Requesting a loan is easy through CareCredit & Proceed Finance Solutions
- Instant online decision
- No impact on your credit score for pre-approval
- Interest Free Terms from 24 months
- Interest rates start at 3.99% APR up to 12 years
- No down payment or upfront fees
- Loan funds in 2 to 3 days
